Introduction
Pre-prosthetic surgery, such as crown lengthe- ning surgery (CLS), is one of the most commonly performed periodontal procedures. This surgery involves the removal of hard and soft periodontal tissues to provide an adequate dental structure and to restore the dimensions of the supracrestal attachment tissues (connective tissue and junctional epithelium below the gingival sulcus) (1-2). The aim of CLS is to achieve a restorative margin with improved marginal sealing and aesthetics for the final restoration (3,4,5). These restorative needs apply to teeth requiring an increase in coronal height due to caries, wear, or fractures; accessing subgingival caries; creating a “ferrule” effect for crown placement; accessing perforations in the coronal third of the root; repositioning restorative margins that invade the supracrestal attachment tissues; and addressing issues such as short teeth, uneven gingival contour, and a gingival smile (6-7).
Periodontal surgical procedures, such as CLS, involve a healing period for the treated tissues following local injury, which affects the anatomical, biochemical, and sensory balance of the treated area and leads to an inflammatory reaction that generates pain (8). In order to manage pain, it is suggested that non-steroidal anti-inflammatory drugs (NSAIDs) are among the most frequently used medications for pain control due to their anti- inflammatory and analgesic effects, particularly in outpatient surgical procedures (9). However, the excesive use of medications like NSAIDs, which are presumed safe in most cases, can lead to adverse effects and general complications, including gastritis, dyspepsia, epigastric pain, heartburn, peptic ulcers, and gastrointestinal bleeding (10-11). Additionally, overuse of molecules like antibiotics, may contribute to additional side effects and antimicrobial resistance, resulting not only in side effects but also in reduced efficacy of predefined doses and resistance to multiple antibiotic classes (12).
In the effort to control pain, inflammation, bacterial infections, and gingival biofilm accumu- lation, chlorhexidine (CHX) has been used as an adjunct to analgesic and/or antibiotic therapy. CHX provides an additional analgesic effect while also fulfilling its antimicrobial role (8). Due to its versatility in mouth rinses (0.12%), sprays, gels (0.2%), dental varnishes, toothpaste, and dental floss (13), various authors have observed that CHX in gel form is more effective than mouth rinses due to its direct contact with tissues, which prolongs the antiseptic effect and improves postoperative outcomes (14). While CHX is not primarily known for its analgesic action, this possible effect is proposed, and mainly related to the reduction of reduces bacterial load in the wound, which may in turn reduce inflammation and, consequently, pain. Thus, the aim of this clinical trial was to evaluate a local controlled-release system using CHX gel (CHX-g) after pre-prosthetic periodontal surgery to manage postoperative pain.
Materials and methods
Design
A randomized, double-blind, controlled clinical trial with parallel groups was conducted on a representative sample of 10 patients. The study participants were treated at the Periodontology Postgraduate Clinic of the Universidad Autónoma de Yucatán. Inclusion criteria required volunteers aged 18 to 60 years, in good systemic health, and in need of unitary crown-lengthening surgery (CLS). Exclusion criteria included smoking, history of allergy to paracetamol or chlorhexidine (CHX), pregnancy or breastfeeding, recent use of analgesic or anti-inflammatory medications, and cognitive impairment affecting the completion of pain rating documentation. Additionally, patients who failed to attend their surgical appointments, had incomplete documentation, reported protocol interruptions, or used additional mouthwashes were excluded.
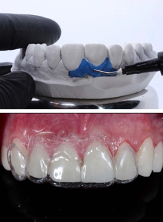
Two study groups were established: Group A (n=5), which received 0.2% CHX gel, and Group B (n=5), which received a placebo gel (CTR). The gel was applied to the surgical site using a custom acetate tray designed for each patient Figure 1). Randomization and allocation of participants were conducted by an independent researcher, ensuring that neither the surgical team nor the patient was aware of the gel type received. This third-party researcher also provided the medication, acetate trays, and necessary study documentation.
Procedure
Informed consent was obtained from all participants. The surgical procedure was performed as follows: Local anesthetic was administered using 2% lidocaine with 1:100,000 epinephrine. A full-thickness flap was reflected, followed by osteotomy and osteoplasty using carbide round burs (Oschenbein®). The flap was then repositioned and secured using simple interrupted sutures (Nylon 5-0). Postoperative instructions were provided to the patient both verbally and in written form.
Both groups immediately received a single dose of 1 gr. of oral paracetamol, followed by the first application of either CHX gel or placebo gel using the custom acetate tray as the delivery system. Each tray was designed to physically protect the wound and standardize the volume of the applied product. The placebo consisted of a glycerin-based gel with similar color and consistency to the CHX gel. Both gels were provided in preloaded 10 ml disposable syringes containing
8.4 ml of gel. Detailed instructions for postoperative care and home record-keeping were given to each participant. In cases of unbearable pain, rescue medication (30 mg sublingual ketorolac) was prescribed.
Pain scores were recorded postoperatively at 1, 4, 12, 24, 48, 72, 120, and 168 hours using the Visual Analog Scale (VAS). The VAS consisted of a 100-mm horizontal line with endpoints representing the extremes of pain: the left endpoint (score 0) indicated "no pain," and the right endpoint (score 10) represented "the worst imaginable pain." Participants were instructed to place a mark on the VAS line corresponding to the intensity of pain experienced since the last evaluation. Higher scores indicated greater pain intensity.
Results
The sample consisted of 8 women and 2 men, aged between 18 and 60 years, with a mean age of 45.1 years. Group A (CHX) had a mean age of 38.4 years, while Group B (CTR) had a mean age of 51.8 years. Two surgeries lasted less than 60 minutes, while eight surgeries lasted exactly 60 minutes. No surgeries exceeded 80 minutes. Pain scores are presented in Table 1 and Table 2, and Figure 2. The average VAS score, measured in millimeters, was 3.32 for Group A (CHX) and 4.85 for Group B (CTR), with no statistically significant differences observed between the groups (p>0.05). Additionally, no significant differences were found when comparing VAS scores at each postoperative time point between the study groups (p>0.05).
However, the VAS Results indicated that, clinically, Group A experienced a lower degree of postoperative pain and avoided the pain peak observed in Group B after 12 hours (Figure 2). All mean VAS scores were consistently lower for the CHX group, which also demonstrated a higher proportion of pain-free values compared to the placebo group.
Table 1 Postoperative VAS measurements in millimeters for Groups A and B.
| - | - | 1 h | 4 h | 12 h | 24 h | 48 h | 72 h | 120 h. | 168 h |
|---|---|---|---|---|---|---|---|---|---|
| Group A CHX | Patient 1 | 0 | 0 | 0 | 2 | 4 | 0 | 0 | 0 |
| - | Patient 2 | 0 | 0 | 0 | 0 | 0 | 0 | 0 | 0 |
| - | Patient 3 | 19 | 0 | 0 | 0 | 0 | 0 | 0 | 0 |
| - | Patient 4 | 22 | 15 | 23 | 13 | 7 | 0 | 0 | 0 |
| - | Patient 5 | 20 | 8 | 0 | 0 | 0 | 0 | 0 | 0 |
| - | Mean ± S.D. | 12.20(±11.18) | 4.60 (± 6.76) | 4.60(±10.20) | 3.0 (±5.65) | 2.20(±3.19) | 0 | 0 | 0 |
| Group B CTRL | Patient 6 | 9 | 13 | 7 | 3 | 2 | 0 | 0 | 0 |
| - | Patient 7 | 16 | 20 | 23 | 25 | 14 | 11 | 2 | 0 |
| - | Patient 8 | 0 | 0 | 39 | 0 | 0 | 0 | 0 | 0 |
| - | Patient 9 | 3 | 1 | 1 | 1 | 1 | 1 | 1 | 1 |
| - | Patient 10 | 0 | 0 | 0 | 0 | 0 | 0 | 0 | 0 |
| - | Mean ± S.D. | 5.61(±6.87) | 6.80(±9.20) | 14.0(±16.73) | 5.80(±10.80) | 3.40(±5.98) | 2.40±(4.82) | 0.60(±0.89) | 0.20±(0.44) |
Table 2 Comparison of values between group A (CHX) and B (CTRL).
| Postoperative time | Comparison between group A and B |
|---|---|
| 1 h | p= 0.421 |
| 4 h | p= 0.690 |
| 12 h | p= 0.151 |
| 24 h | p= 0.690 |
| 48 h | p= 0.841 |
| 72 h | p= 0.310 |
| 120 h | p= 0.310 |
| 168 h | p= 0.690 |
Rescue medication was required in 3 patients; 1 in group A and 2 in group B. On the other hand, postoperative adverse effects (AE) related to the medication were observed in 2 patients (1 per group). The rescue medication and AE reports is present in Table 3.
Table 3 Need for rescue medication and postoperative adverse effects according to study group.
| - | - | Rescue medication | Adverse effects |
|---|---|---|---|
| Group A CHX | Patient 1 | No | No |
| - | Patient 2 | No | No |
| - | Patient 3 | No | Itching sensation in the area |
| - | Patient 4 | No | No |
| - | Patient 5 | Yes | No |
| Group B CTRL | Patient 6 | Yes | Itching sensation in the area |
| - | Patient 7 | No | No |
| - | Patient 8 | Yes | No |
| - | Patient 9 | No | No |
| - | Patient 10 | No | No |
Discusion
This clinical trial aimed to evaluate the effectiveness of a 0.2% CHX gel delivered locally to modulate postoperative pain following CLS, in comparison with a placebo group. Few studies have focused on pain relief as a primary variable for CHX, as this compound is primarily associated with bacteriostatic or bactericidal effects, depending on concentration, with most studies utilizing mouth rinses as the delivery method (16). CHX has shown high efficacy in various postoperative clinical-surgical scenarios, such as alveolar osteitis after dental extractions (17), dental implant surgeries (18), and periodontal surgeries (19), among others, suggesting not only a reduction in local bacterial load but also anti-inflammatory and analgesic effects.
Based on these observations, CHX could be beneficial for managing pain, inflammation, and infection in periodontal CLS. Canakçi and Canakçi (2007) reported that postoperative pain and discomfort are more frequent and intense after procedures involving gingivectomy and flap surgery with osseous resection, when compared to non-surgical periodontal therapies or open-flap debridement (20). Similarly, Powell et al. (2005) observed that the low incidence of postoperative infections following periodontal surgery (including closed-flap surgery) does not justify the routine use of postoperative antibiotics (21). This aligns with findings from Liu et al. (2017) and Oswal et al. (2014), who reported a postoperative infection rate of <1% to 2.09% in periodontal surgical treatments, therefore, antibiotic treatment may not be required, only an agent that limits bacterial proliferation (22,23,24). In order to mitigate these effects at the local level, different drug delivery systems have been evaluated, as the oral environment’s constant salivary flow hinders the drug from remaining at the application site. Although CHX mouth rinses provide a significant substantivity effect, they cannot ensure continuous local action at the surgical site (25). CHX gels as a delivery system have been widely reported as a preventive or management method for dry socket complications after dental extractions, particularly third molars, where the gel is applied intra-alveolarly to ensure direct tissue contact and prolonged release and action (26).
To control the sustained contact of the gels in periodontal surgery, and to avoid possible bias of side-factors that may affect its integrity, this study employed an acetate tray as a controlled- delivery system for both placebo and 0.2% CHX gel. The Results indicated that, while the system did not produce statistically significant reductions in postoperative pain after CLS, VAS scores showed clinically lower pain levels in patients treated with CHX gel compared to the control group. These findings are consistent with previous reports were chlorhexidine favors a lower incidence of postoperative pain. (27,28,29,30).Such effect had been compared with systemic analgesics, since Barajas et al. suggested that intra-alveolar application of CHX gel could be more effective in reducing postoperative pain than using 10 mg ketorolac alone (27).
Studies on animal models have explored the nociceptive effects of CHX, proposing mecha- nisms that extend beyond its bactericidal action. Esparza et al. proposed that CHX chemical composition and positive ionic charge may allow it to interact with peripheral nerve endings, modulating nerve conduction involved in pain transmission or blocking specific peripheral ionic channels. This modulatory action may function similarly to membrane-stabilizing agents like procaine, stabilizing nerve membranes and influencing the generation of action potentials (31-32). Additionally, Shaihutdinova et al. reported that CHX can inhibit evoked endplate currents by blocking open ionic channels, increasing desensitization, or facilitating molecule trapping in voltage- dependent channels. Their findings suggest that CHX may exert an antinociceptive effect throughan open-channel modulatory mechanism, leading to allosteric inhibition that diminishes pain signal transmission (32-33).
In addition to exploring CHX antinociceptive potential, various factors known to influence postoperative pain should be considered when assessing pain management strategies in perio- dontal surgery. For instance, Tan et al. (2014) observed that surgeries lasting 60 minutes or more were associated with increased postoperative pain, suggesting that surgical duration might be a key factor in the patient’s pain experience (34). Curtis et al. (1985) also supported this view (35). However, Seymour et al. (1983) found no consistent relationship between the length of surgery and pain levels, indicating that duration alone may not reliably predict postoperative discomfort (36). Literature also indicates that postoperative pain typically peaks within the first 24 hours after surgery, whether for impacted third molar extraction or periodontal surgery (30,37). In this study, postoperative pain decreased substantially in both groups by 72 hours. Notably, Group B (CTRL) reported an increase of pain values at 12 hours. This suggests that the CHX gel may help modulate the initial pain response as seen on animal models. However, more research is needed to confirm its reproducible analgesic benefits.
The need for rescue medication and adverse effects were also evaluated. Only three subjects in the control group required rescue medication, though no significant difference was observed. These Results are consistent with those reported by López et al. (1998), who found a higher demand for additional analgesics in the placebo group (9.6%) compared to the CHX group (2.4%) (38).
AE from direct use of CHX gel were minimal and comparable to the placebo group. The local itchiness perceived by two patients, is not commonly reported as reactions to CHX in the literature (39)., suggesting they it may be secundary to the surgical manipulation or the direct contact of the delivery tray. Medina et al. (2014) documented oral ulcers as a possible AE, though only one case was linked to oral ulcerations (27). Literature suggests no direct association between post-extraction CHX use and oral ulcers, proposing instead that these side reaction may arise from opportunistic bacterial infection due to immune alterations, rather than direct CHX contact.
Although this clinical data suggests promising benefits, important limitations of this preliminary report must be acknowledged. First, the sample size was one of our major limitations, although it was chosen to validate the potential application of this method in larger trials, the small number of validated patients limited the ability to propose clinical applications. Second, all data collected are based on subjective observations reported by patients, which may introduce biases depending on the extent of surgery or the patient's clinical experience. Future studies should incorporate objective quantification of local algesic mediators to provide stronger evidence for the mechanisms underlying the analgesic effects of CHX.
Conclusions
The use of 2% CHX gel after CLS seems to be a positive adjuvant to prevent local pain related to the surgical intervention, however, no statistically significant differences were found in this study.
Author contribution statement
Conceptualization and design: V.M.M.A., A.P.G. and D.Ch.B.
Literature review: C.M.M., E.M.P., and A.A.L.C.
Methodology and validation: V.M.M.A., C.M.M. and R.C.B.
Formal analysis: V.M.M.A., C.M.M. and R.C.B.,E.M.P., A.P.G., A.A.L.C. and D.Ch.B.
Investigation and data collection: V.M.M.A., C.M.M., R.C.B., E.M.P., A.P.G., A.A.L.C., D.Ch.B.
Resources: V.M.M.A. and D.Ch.B.
Data analysis and interpretation: V.M.M.A., C.M.M., E.M.P., A.P.G., A.A.L.C., D.Ch.B.
Writing-original draft preparation: V.M.M.A.,C.M.M. and A.A.L.C.
Writing-review & editing: V.M.M.A., E.M.P., A.P.G., D.Ch.B.
Supervision: V.M.M.A., E.M.P., A.P.G., A.A.L.C., D.Ch.B.
Project administration and Funding acquisition: V.M.M.A., A.P.G. and D.Ch.B.














