SciELO - Scientific Electronic Library Online

 
 issue33Surgical management of the patient with hemophilia undergoing oral surgery: A case report author indexsubject indexarticles search
Home Pagealphabetic serial listing  

Services on Demand

Journal

Article

Indicators

Related links

  • Have no similar articlesSimilars in SciELO

Share


Odontología Vital

On-line version ISSN 1659-0775Print version ISSN 1659-0775

Odontología Vital  n.33 San Pedro, Lourdes de Montes de Oca Jul./Dec. 2020

 

Artículo

Reto multidisciplinario ante fractura vertical

Multidisciplinary challenge in a patient with a vertical fracture

Mayid Barzuna Ulloa1  

Sandra Benavides Chaverri2  

Catalina Valverde Tinoco3  

Laura Villalobos Calderón4  

Tenorio Ortega5 

1Universidad Autónoma San Luis Potosí, México, endobarzuna@hotmail.com

2Universidad Inter Continental. DF. México. sanbencha@gmail.com

3Universidad Estatal de Ohio. EEUU. anacatalinav@yahoo.com

4Universidad Latina de Costa Rica, Costa Rica,dra.lvillalobos@gmail.com Sonia

5Universidad Latina Costa Rica, Costa Rica,sontenor@gmail.com

Resumen

Introducción:

La extrusión rápida ortodóntica puede usarse como alternativa para evitar extraer una pieza fracturada que no podría ser restaurada por trauma, caries extensas, problemas periodontales (dos o tres paredes), dientes con reabsorción interna y dientes con perforaciones endodónticas.

Objetivo:

De este caso clínico es presentar a todos los odontólogos una solución sencilla de tratamiento integral de un paciente el cual sufrió un trauma facial, causándole una fractura vertical a nivel del tercio medio radicular del incisivo central superior derecho.

Método:

Mediante una extrusión ortodóntica, retratamiento endodóntico y abordaje periodontal, de manera que facilite la futura rehabilitación con corona completa. El resultado de este procedimiento se logró con mucho éxito gracias a que concluimos que se trató en forma multidisciplinaria, en donde cada especialidad actúa o interviene en un momento preciso.

Conclusiones:

La extrusión rápida es un procedimiento en el cual una pieza que ha sufrido una fractura radicular a nivel marginal puede ser tratada sin necesidad de realizar un alargamiento de corona comprometiendo así el nivel del hueso de la pieza.

Palabras clave: Extrusión; Reporte de Caso; Trauma; Fractura Coronal.

Abstract

Introduction:

Rapid dental orthodontic extrusion may be used as an alternative to avoid the extraction of fractured teeth that might not be suitable for restauration because od trauma, extensive cavities, periodontal problems (two or three walls), teeth with internal resorption, or with endodontical perforations.

Objective:

Of this clinical case is to present to all dentists a simple solution of integral treatment of a patient who suffered trauma to his face causing a vertical fracture at the level of the middle third root of the right upper central incisor.

Methods:

Used in this case was through orthodontic extrusion, endodontic retreatment and periodontal approach, so as to facilitate future rehabilitation with a full crown. The result of this procedure was achieved with great success because we conclude that it was treated in a multidisciplinary way, where each specialty intervenes at a precise moment.

Conclusions:

Rapid extrusion is a procedure in which a tooth that shows a radicular fracture close to it´s margin may be treated without dental crown lengthening that would risk bone level.

Keywords: Extrusion; Case Report; Trauma; Fracture.

Introducción

La extrusión rápida ortodóntica puede usarse como alternativa para evitar extraer una pieza fracturada que no podría ser restaurada por trauma, caries extensas, problemas periodontales (dos o tres paredes), dientes con reabsorción interna y dientes con perforaciones endodónticas. Además, se usa para facilitar las preparaciones de los márgenes gingivales.

Algunas situaciones recomiendan el uso de extrusión ortodóntica para aquellos dientes con destrucción coronaria importante, particularmente en el sector anterior. Su objetivo es conseguir suficiente estructura dentaria y obtener un adecuado espacio biológico. Contrario a un alargamiento coronario que suele ser poco favorable en estos casos; donde la estética por medio de la línea de la sonrisa, papilas interdentales y hueso interproximal quedan severamente comprometidos.

Según Pontonero 31, la extrusión rápida es una técnica que realiza una erupción dental forzada junto con una fibrotomía o resección de las fibras, lo cual puede resultar en un alargamiento de corona sin la necesidad de hacer una resección ósea. Este procedimiento permite a la raíz ser extruida y exponer suficiente estructura para que esa pieza pueda ser restaurada protésicamente. Para este procedimiento se colocan brackets en los dientes vecinos al diente que se va a extruir, además se utiliza un alambre rectangular y con una cadena elástica o liga se empieza a jalar o extruir la pieza dental.

En relación con la extrusión, Heithersay 20 fue el primero en describir este tipo de tratamiento. Seguidamente varios estudios clínicos, según Durman et al.14, respaldaron la efectividad de este procedimiento. Resumiendo el tratamiento consiste en mover la raíz ortodónticamente en una dirección coronal, para de este modo, poder alargar la corona clínica.

La evaluación histológica realizada en perros demostró que al hacer una extrusión dental, el hueso alveolar sigue al diente oclusalmente y más tarde hay un depósito de hueso en la cresta alveolar. Este hueso formado no es deseable si la meta de tratamiento es llevar al diente por encima de la cresta alveolar para poderlo restaurar, de acuerdo a Simon et al 34 . Lo anterior es reforzado por Oppenheim 30 quien fue el primero que reportó la elongación de dientes artificialmente, encontrando que cuando se usa una fuerza ligera sobre el diente, todo el alojamiento del hueso alveolar sigue el movimiento hacia oclusal del diente. Las fibras periodontales no se jalan y se forma un tejido osteoide en forma uniforme. Sin embargo, cuando una fuerza fuerte es usada, las fibras periodontales son jaladas y se rompen y el tejido osteoide se forma pero sólo en la zona donde las fibras se mantienen atadas y no son afectadas.

La fibrotomía supracrestal es un procedimiento en donde se separan las fibras del aparato dento gingival lo cual ayuda en la retención o estabilidad de los dientes rotados. Este aparato de fibras es de natura lezacolágena con poca o ninguna elasticidad. La tensión es impartida al hueso alveolar mediante el aparato de fibras ocurriendo un depósito o formación de hueso como resultado del movimiento dental. Este depósito de hueso no sería deseable al hacer la erupción forzada en dientes que requieren alargamiento de corona ya que se necesitaría una cirugía en donde se remueva este tejido osteoide y tejido óseo para permitir el ancho biológico en un nivel más apical radicular. Por lo anterior es que Pontonero 31, recomienda que al hacer una extrusión rápida o forzada se realice una fibrotomía supracrestal para eliminar las fibras tensas sobre el hueso de la cresta alveolar y así prevenir la formación o depósito de hueso. Esto permite a un diente fracturado ser erupcionado exponiendo suficiente estructura para un buen manejo restaurativo.

Debido a la recidiva existente en alguno de los movimientos ortodónticos es que se realiza una fibrotomía circunferencial supracrestal. Como ha sido demostrado por Reitan32, en algunos dientes desrotados continúa una tensión en las fibras libres de la encía aún siete meses después de la retención y dicha tensión podría provocar una recidiva, por lo que Reitan32, sugiere la sección de las fibras tensas.

Swanson36, también investigó este problema en dientes que tenían rotaciones moderadas que iban de 10 a 20 grados y rotaciones severas mayores de 20 grados. Él concluye que los dientes desrotados tienden a volver a sus posiciones originales de acuerdo con la severidad inicial de la rotación de los dientes. Swanson et al.36, reportaron una incidencia de recidiva rotacional del 48% en pacientes con 10 años de retención ortodóntica.

Naraghi28 ha demostrado, que la magnitud de recidiva es proporcional a la severidad de la rotación inicial. Diversas estrategias han sido sugeridas como coadyuvantes para minimizar la tendencia a la recidiva, algunas son: sobre rotación, corrección temprana, y retención ortodóntica a largo plazo, pero la más aplicable y eficiente para este propósito se sume que es la Fibrotomía Circunferencial Supracrestal (FCS).

En estudios realizados por Thompson38 en monos, se demuestró que hay una recidiva menor en los monos en donde les hace una gingivectomía que en los monos control del experimento, y concluye que las fibras supraalveolares no se adaptan a las nuevas posiciones dentales y que éstas son en parte responsables de la recidiva. También los autores Wiser43 y Boese5, trabajaron con perros y monos respectivamente, en donde les realizaron una gingivectomía alrededor de los dientes rotados y encontraron una recidiva menor. Boese5, concluyó que lo anterior se da por eliminar la tensión de las fibras transeptales.

Figura 1 Diagrama de extrusión ortodóntica,muestra como mediante la colocación de un alambre intraconducto con un doblés se puede obtener una extrusión por medio de una ligadura unida al gancho y el alambre ferulizado a las piezas adyacentes.  

En estudios separados realizados por Brauer10 y Tsopel 40, se efectuaron incisiones verticales en mesial y distal de dientes rotados seccionando las fibras supragingivales. También los autores Edwards15 y Brain8, seccionaron las fibras gingivales introduciendo un bisturí hasta el fondo del surco gingival y analizaron el efecto de las fibras circunferenciales supra gingivales, concluyendo que este procedimiento mejoraba la estabilidad de los dientes rotados. Posteriormente en 1970 Edwards16, realizó en humanos este procedimiento demostrando que esta sencilla técnica mejoraba la estabilidad dental minimizando la recidiva. Años después, Campbell et al.11, designaron el nombre de fibrotomía de las fibras circunferenciales supracrestales a este procedimiento.

Existen 2 tipos de extrusión ortodóntica:

Extrusión Ortodóntica rápida:

La migración coronal de los tejidos de soporte del diente es menos pronunciada debido a que los movimientos rápidos exceden su capacidad de adaptación fisiológica. La extrusión rápida está asociada al riesgo de anquilosis dental, además estas fuerzas intensas podrían producir reabsorción radicular según Bach N et al 1.

Figura 2: Fibrotomía supracrestal.(Tomado para fines ilustrativos : M.Savoinni et al. Rev Española 2006). 

Extrusión Ortodóntica lenta:

El hueso alveolar y la extensión gingival se desplazan junto con la raíz, debido a un estiramiento de las fibras gingivales y periodontales que se adaptan a este movimiento mediante un crecimiento del hueso alveolar. Una vez finalizada la extrusión, se realiza un periodo de estabilización, para limitar la recidivante a la intrusión. DurmanT14 recomiendó que este período sea de un mes por milímetro de movimiento radicular. (Figura 1)

Según la bibliografía, Jorgensen M 23, es recomendable una fibrotomía supracrestal, antes, durante y después de la erupción forzada esto para disminuir el tiempo necesario de estabilización posterior al movimiento. (Figura 2)

Reporte caso clínico

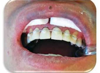
Paciente masculino de 36 años de edad sin antecedentes patológicos personales (A.P.P.) se presenta al Postgrado de Endodoncia de la Universidad Latina de Costa Rica por motivo de Trauma Dental debido un accidente laboral, el hecho ocurrió tres días anterior a su visita al centro de atención. Clínicamente se observa inflamación y un grado de movilidad II. Desalojo incisal y fuera de oclusión. (Figur 3) Radiográficamente se observa una obturación deficiente del conducto y a la vez una aparente fractura radicular. (Figura 4)

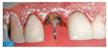
Seguidamente se coloca anestesia al 2%, para realizar exploración profunda y determinar de qué tamaño era el fragmento de corona separado y determinar si era posible su reposicionamiento y posterior restauración. (Figuras 5A ,5B y 5C)

Se reposiciona y se coloca una férula con alambre de ortodoncia de 0.7 mm de grosor, se utiliza resina, ácido y adhesivo especial para porcelana (silano) debido a que se estaba trabajando sobre coronas de dicho material. Y se deja durante 15 días para estabilizar los tejidos suaves y planear el tratamiento. (Figura 6)

En la segunda cita se realiza control clínico y radiográfico. (Figura 7)

Se procede a remover la férula, corona y desobturar la pieza para colocar un alambre y poder realizar un muñón más estable para efectuar la extrusión ortodóntica. (Figuras 8A y 8B)

Se coloca una corona temporal de policarboxilato y se cementa.Se colocan brackets y un alambre de nitinol con un doblés a nivel de 1.1 para realizar tracción. (Figura 9)

Siete días después se observa un desplazamiento de la pieza hacia incisal junto el margen gingival. (Figuras 10A y 10B)

Se realiza control 1 mes despúes y se determina que es necesario rea- lizar una fibrotomía para ayudar en el proceso de extrusión rápida. (Figura 11)

Se hace una fibrotomía para ayudar al proceso y se deja ferulizado por 4 meses. (Figura 12)

Una vez realizada la fibrotomía se procede a reposicionar el bracket y se deja en control durante 4 meses para lograr estabilizar el movimiento (por cada milímetro de extrusión se debe dejar 1 mes ferulizado, en este caso se logró extruir unos 4 mm aproximadamente. (Figuras 13A y 13B)

El paciente se presenta a consulta luego de 4 meses y refiere que en ese tiempo se le cayó la férula, por dicho incidente y luego de observar la radiografia se nota que la pieza tuvo un retroceso en cuanto al avance anterior, o sea se intruyó de nuevo, por tanto se procede a realizar una fibrotomía más para ayudar a la extrusión. (Figuras 14A y 14B)

Al paciente se le deja la pieza ferulizada con el mismo alambre de ortodoncia y con los brackets por unos tres a cinco meses con la finalidad de evitar una nueva recidiva. Posteriormente se remueve la ortodoncia y se procede a efectuar la rehabilitación del central superior derecho. Se cementa un poste de fibra de vidrio en el conducto radicular y se confecciona un muñón (con el material Duo Core) el cual finalmente es preparado para recibir una corona de metal porcelana y se le toma una radiografía periapical final. (Figuras 15A y 15B)

Discusión

Esta técnica de extrusión, puede ser muy beneficiosa en aquellas situaciones donde la pieza puede ser utilizada para proporcionar un mejor lecho óseo, y de tejidos blandos con vistas a un futuro implante si llegara a requerirlo. El tratamiento de las lesiones traumáticas necesita de un enfoque multidisciplinario.

La extrusión en ortodoncia es un tratamiento conservador con un pronóstico favorable y se puede considerar como una opción en aquellos pacientes que sufren accidentes donde las piezas sufren intrusiones dentales.

La extrusión rápida se puede usar para nivelar un defecto óseo de una pared y también para forzar la erupción de un diente o raíz con fines restaurativos. En ambos procedimientos se requiere una fase- de cirugía ósea menor como consecuencia del movimiento dental y una etapa de estabilización para corregir la nueva posición ósea, como recomienda Ingber 2 .

Figura 3: Inflamación de tejidos blandos y movilidad grado II de pieza 1.1, desalojamiento del alveolo y fuera de oclusión. 

Figura 4: Radiografía inicial 

Figura 5A: Remoción de corona. 

Figura 5B: Remoción de corona Vista Radiográficamente,nótese la lesión periapical que tiene la pieza y el mal sellado del conducto. 

Figura 5C: Porción coronal removida,obsérvese el fragmento radicular adherido a la corona. 

Figura 6: Colocación de férula con alambre de ortodoncia. 

Figura 7: Control Radiográfico a los 15 días de colocado el segmento. 

Figura 8A: Colocación temporal de alambre de ortodoncia de 0.9 mm de grosor, dentro del conducto y confección de muñón. 

Figura 8B: Nótese la estabilidad del periodonto. 

Figura 9:  Se colocan brackets y un alambre rectangular de 17 x 25 de nitinol con un doblés a nivel de 1.1 para realizar tracción coronal. 

Figura 10A: Se señala ubicación del margen gingival. 

Figura 10B: Control radiográfico donde se observa el alambre intraconducto haciendo función temporal de poste. 

Figura 11: Control un mes después Nótese la extrusión de aproximadamente 2 mm a nivel incisal . 

Figura 12: Se muestra la hoja de bisturí aplicada al periodonto para poder realizar la fibrotomía. 

Figura 13A: Extrusión del incisivo de unos 4 mm. 

Figura 13B: Recolocación nuevamente del bracket y colocación de alambre ortodóntico. 

Figura 14A: Al caerse la ferula el diente se volvio a intruir. 

Figura 14B: La intrusión se puede constatar en la radiografía periapical. 

Figura 15A: Restauración con una corona de metal porcelana. 

Figura 15A: Radiografía periapical final. 

La tracción o extrusión rápida es de seis semanas y luego se debe estabilizar el o los dientes por un período de seis semanas según los autores Pontonero 31,Heithersay 21, Simon et al 34 .

Taner 37, mostró que en los pacientes en donde se efectuó la fibrotomía, hubo mínimos cambios en los incisivos dándose una estabilidad en los mismos 6 meses y un año después de quitar los brackets.

Mientras que en los pacientes en donde no se hizo este procedimiento sí hubo una notable recidiva.

Conclusiones

Dentro de las conclusiones de esta investigación podríamos señalar que la extrusión rápida es un procedimiento en el cual una pieza que ha sufrido una fractura radicular a nivel marginal puede ser tratada sin necesidad de realizar un alargamiento de corona comprometiendo así el nivel del hueso de la pieza.

El resultado de un tratamiento exitoso se basa en tener presente la comunicación o consulta interdisciplinaria, en donde cada especialidad actúa o interviene en un momento preciso para llevar a cabo un procedimiento en el cual, siempre se lleva en mente el beneficio del paciente desde la perspectiva funcional como estética. Por eso se convierte en un reto inter disciplinario el cual conlleva un ordenamiento o cronograma de trabajo en donde cada especialidad interviene organizando un tratamiento óptimo para el paciente y los especialistas que intervienen durante el tratamiento.

Bibliografía

1. Bach N, Baylard J, Voyer R. Orthodontic Extrusion: Periodontal Considerations and Applications. J Can Dent Assoc 2004. [ Links ]

2. Baker IM. Case report: orthodontic extrusion of non restora-ble tooth. J Clin Orthod 1992 [ Links ]

3. Bielak S, Bimstein E, Eidelman E.Forced eruption the treatment of choice of subgingivally fractured permanent incisor.ASDC J Dent Child 1982. [ Links ]

4. Biggerstaff Robert, Sinks James, Carazola James.Orthodonctic extrusion and biologic width realignment procedures:methods for reclaiming nonrestorable teeth.Journal of American Dental Association (JADA),Vol.112, March 1986. [ Links ]

5. Boese, L. R.: Increased stability of orthodontically rotated teeth following gingiveetomy [ Links ]

6. in Maraca nemestrina, AM. J. ORTHOD. 56: 273, 1969. [ Links ]

7. Bondermark L,Kurol J,Hallonsten AL,Andreasen attractive magnets for orthodontic extrusion of crown-rootfractured teeth. Am J Orthod.Dentofacial Orthop 1997. [ Links ]

8. Brain, IV. E.: The effect of surgical transsection of free gingival fibers on the regression [ Links ]

9. of orthodontically rotated teeth in the dog. AM. J. ORTHOD. 55: 50, 1969. [ Links ]

10. Brauer, J. 5.: A surgical procedure to reduce the tension in transseptal fibers of orthodontically rotated teeth, M.Sc.0. thesis, University of North Carolina, Chapel Hill, N. C., 1963. [ Links ]

11. Campbell, P. M., Moore, J. IV., and Matthews, J. L.: Orthodontically corrected midlint diastemas: A histologic study and surgical procedure, Am. J. ORTHOD. 67: 139, 1975. [ Links ]

12. Chaushu S, Zahavi T, Becker A. Forced eruption of maxillary incisor teeth from the lingual side. Quintessence Int 2004. [ Links ]

13. Chaushu S et al. Emergency orthodontic treatment after the traumatic intrusive luxation of maxillary incisors. Am J Orthod Dentofacial Orthop. 2004. [ Links ]

14. Durman T, Goddard T, Marrison S:Rapid forced eruption :a case report and a review of forced eruption techniques 2004. [ Links ]

15. Edwards JG. A study of the periodontium during orthodontic rotation of teeth. Am J Orthod 1968; 54: 441-61. [ Links ]

16. Edwards John G., A long-term prospective evaluation of the circumferential supracrestal fiberotomy in alleviating orthodontic relapse. Am J Orthod DENTOFAC ORTHOP 1968;93:380-7. [ Links ]

17. Edwards, J. G.: A surgical procedure to eliminate rotational relapse, AM. J. ORTHOD. 57:35, 1970. [ Links ]

18. Flores MT et al. Guidelines for the management of traumatic dental injuries. I. Fractures and luxations of permanent teeth. Dent Traumatol. 2007. [ Links ]

19. Fournier A. Orthodontic management of subgingivally fractured teeth. J Clin Orthod 1981. [ Links ]

20. Heithersay G, Combined endodontic-orthodontic treatment of transverse root fractures in the region of the alveolar crest. Oral Surg. Oral Mede. Oral Pathol. 36:404,1973. [ Links ]

21. Ingber J. Forced eruption: alteration of soft tissue cosmetic deformities. Int J Periodont Rest Dent 1989. [ Links ]

22. Johnson GK, Sivers JE. Forced eruption in crown-lengthe- ring procedures. J Prosth Dent 1986. [ Links ]

23. Jorgensen M, Nowzari H. Aesthetic crown lengthening. J Periodontology 2000 [ Links ]

24. Kaplan Ross G. Clinical experiences with circumferential supracrestal fiberotomy. Am J.Orthod. Volume 70. Number 2, August 1976. [ Links ]

25. Littlewood SJ., Millet DT., Doubleday B., Bearn DR., Worthington HV. Orthodontic retention: a systematic review. J. Orthod 2006; 33: 205-12. [ Links ]

26. Mandel RC, Binzer WC, Withers JA. Forced eruption in restoring severely fractured teeth using removable orthodontic appliances. J Prosth Dent 1982. [ Links ]

27. Medeiros RB, Mucha JN. Immediate vs late orthodontic extrusion of traumatically intruded teeth. Dent Traumatol. 2009. [ Links ]

28. Naraghi S., Andreu A., Kjelberg H., Mohlin BO. Relapse tendency after orthodontic correction of upper front teeth retained with a banded retainer. Angle Orthod 2006; 76: 570-6. [ Links ]

29. Oesterle L, Wood L. Raising the root: a look at orthodontic extrusion. JADA 1991. [ Links ]

30. Oppenheim A. Artificial elongation of the teeth.Am.J.Orthod.Ral Surg 26:931,1940. [ Links ]

31. Pontonero Roberto, Celenza Frank, Ricci Gianno, Carnevale G. rapid extrusion with fiber resction: A combined Orthodontic-Periodontic Treatment Modality. The International Journal of Periodontics and restorative Dentistry 5/1987. [ Links ]

32. Reitan K. Tissue rearrangement during retention of orthodontically rotated teeth. Angle Orthod. 1959; 29: 105-13. [ Links ]

33. Reitan, K. Tissue behavior during orthodontic tooth movement, AM. J. ORTHOI). 46: 881,1960. [ Links ]

34. Simon J, Lythgoe J, Torabinejad M. Clinical and histological evaluation of extruded endodontically treated teeth in dogs. Oral Surg.Oral Med. Oral Pathol. 50:361,1980. [ Links ]

35. Spalding PM et al. The changing role of endodontics and orthodontics in the management of traumatically intruded permanent incisors. Pediatr Dent. 1985. [ Links ]

36. Swanson WD, Riedel RA, D’Anna JA. Postretention Study: incidence and stability of rotated teeth in humans. Angle Orthod 1975; 45: 198-203. [ Links ]

37. Taner Tülin, Haydar Bülent, Kavuklu içim, Korkmaz Ahmet. Short-term effects of fiberotomy on relapse of anterior crowding. Am J Orthod Dentofacial Orthop 2000;118:617-23. [ Links ]

38. Thompson, H. E.: Orthodontic relapses analyzed in a study of connective tissue fibers, [ Links ]

39. AM.J. ORTHOD. 45: 93,1959. [ Links ]

40. Tsopel, G.: A study of the influence of the supra-alveolar connective tissue fibers on the [ Links ]

41. stability of orthodontically rotated teeth, M.S. thesis, Marquette University, Milwaukee,Wis., 1967. [ Links ]

42. Weiland F. Constant versus dissipating forces in orthodontics: the effect on initial tooth movement and root resorption. Eur J Orthod. 2003. [ Links ]

43. Wiser, G. M.: Resection of the supra-alveolar fibers and the retention of orthodontically [ Links ]

44. rotated teeth, AM. J. ORTHOD. 62: 855, 1966. [ Links ]

45. Zitzmann NU et al. Endodontics or implants? A review of decisive criteria and guidelines for single tooth restorations and full arch reconstructions. Int Endod J. 2009 [ Links ]

Recibido: 12 de Diciembre de 2019; Aprobado: 22 de Junio de 2020

Creative Commons License Este es un artículo publicado en acceso abierto bajo una licencia Creative Commons