Introducción
El granuloma piógeno es un tipo de hiperplasia inflamatoria. Estas hiperplasias describen a un amplio número de crecimientos nodulares de la mucosa oral que se caracterizan por presentar un tejido fibroso, con signos de inflamación y tejido de granulación. Se le atribuye una recurrencia importante, pudiendo desarrollarse tanto en piel como en la cavidad oral donde es encontrado, a menudo, en tejido queratinizado (Jafarzadeh, 2006).
En el año 1904, Hartzell introduce el término granuloma piógeno, a pesar de que Hullihen, en 1844, pareciera indicar una descripción del quizás primer granuloma piógeno reportado en la literatura inglesa. (Adusumilli, 2014)
A pesar de que originalmente se pensaba que era causado por organismos piógenos, ahora se cree que no guarda relación con este tipo de infección, ya que no contiene pus y no es, en estricto rigor, un granuloma (Jafarzadeh, 2006). Histológicamente se asemeja a una lesión angiomatosa en lugar de una granulomatosa (Gomes, 2013).
El granuloma piógeno se considera usualmente como una lesión reactiva, que surge en respuesta a variados estímulos; irritación crónica local de bajo grado, injurias traumáticas, factores hormonales, o cierto tipo de medicamentos.
Aproximadamente un tercio de las lesiones ocurre después de un trauma, y es por esto que se asocia en gran medida a este factor, sobre todo en los de tipo extragingival (Jafarzadeh, 2006). Al existir un trauma menor o irritación crónica, los tejidos reaccionan abriendo una vía para invasión de microorganismos no específicos, aunque rara vez estos han sido demostrados dentro de la lesión. El consenso general es que la patogénesis del granuloma piógeno es todavía discutible. (Kamal, 2012)
Una higiene oral deficiente también puede ser un factor precipitador en muchos de estos pacientes.
Además, algunos factores como el óxido nítrico sintasa, el factor de crecimiento endotelial vascular, el factor de crecimiento de fibroblastos y el factor de crecimiento del tejido conectivo, son conocidos por estar envueltos en la angiogénesis y en el crecimiento rápido del granuloma piógeno. Adicionalmente, drogas como la ciclosporina, tienen un rol importante en la génesis de esta patología y también se ha descrito a la práctica dental iatrogénica como estimuladora de esta lesión reactiva (Jafarzadeh, 2006).
Otros autores sugieren que el granuloma piógeno representa una proliferación exuberante de tejido conectivo, a un estímulo conocido o lesión como cálculo o material extraño dentro del surco gingival (Regezi, 2003).
Su tamaño varía desde unos pocos milímetros a centímetros. Puede ser doloroso, especialmente si se encuentra en un área del cuerpo donde se altera constantemente. (Adusumilli, 2014). El granuloma piógeno de la cavidad oral, es conocido por desarrollarse mayormente en encía. Su variedad extragingival puede ocurrir en labios, lengua, mucosa bucal, paladar y similares (Kamal, 2012).
Principalmente se asocia a mujeres jóvenes, en la segunda década de vida, posiblemente debido a un efecto vascular mediado por cambios hormonales. Se presenta en un 1% de las embarazadas. (Adusumilli, 2014)
El diagnóstico de un granuloma piógeno, puede ser confirmado mediante el análisis de cortes histológicos de las muestras de una Biopsia. El tratamiento ampliamente utilizado y recomendado es la escisión quirúrgica conservadora, donde las tasas de recurrencia pueden variar de 0% a 16%. (Adusumilli, 2014)
En este trabajo se presenta un reporte de caso de un granuloma piógeno Fibrosado, en una paciente de 22 años de edad. En este caso la histopatología y discusión son vitales, ya que a primera vista, clínicamente, la lesión presenta características más compatibles con una lesión fibrosa que una con un mayor contenido vascular.
Caso clínico
Se presenta a la Clínica Odontológica de la Universidad de Viña del Mar, Chile, una paciente de 22 años, sexo femenino, estudiante y fumadora habitual, sin antecedentes mórbidos relevantes para este caso.
La paciente consulta por un aumento de volumen en la zona anterior del maxilar superior de 10 años de evolución, cuyo un crecimiento fue lento y asintomático en un inicio.
Al momento de la consulta relata dolor agudo que califica como un dolor 10 dentro de la escala visual análoga (EVA).
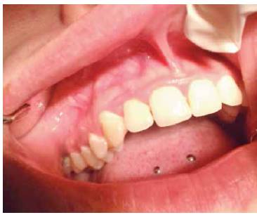
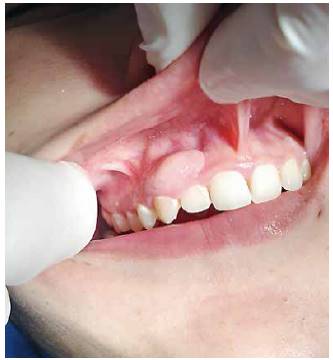
Al realizar el examen intraoral se observa un aumento de volumen de forma ovalada que va desde el margen gingival, abarcando encía adherida hasta muy cerca del fondo de vestíbulo. Esta lesión se extiende desde distal del diente 1.1 hasta mesial del 1.4. A la palpación, su consistencia es muy firme y tiene un color rosa pálido y presenta una base pediculada (Figura 1 y 2).
Se observa higiene oral deficiente y lesiones activas cervicales en dientes anteriosuperiores.
Se solicitó radiografía periapical bisectal de dientes 1.1 al 1.4 (Figura 3) y una radiografía oclusal de la zona (Figura 4). No se observaron alteraciones óseas.
Teniendo estos antecedentes se generan como hipótesis diagnóstica; fibroma irritativo, fibroma osificante periférico.
Se realizó una biopsia excisional de la lesión bajo anestesia local con vasoconstrictor. Al momento de retirar la lesión y realizar la biopsia, se observó una zona de exostosis ósea bajo la lesión, que se retiró en el momento de la cirugía (Figura 5).
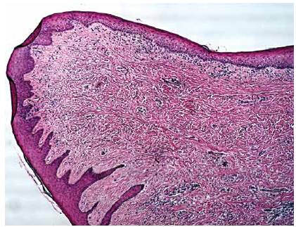
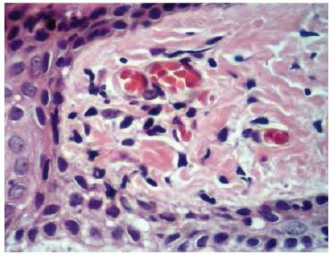
En la figura 6 se observa el conjuntivo con abundantes fibras colágenas desordenadas, algunos capilares, y algunas zonas de infiltrado inflamatorio en la zona superior.
El sector superior derecho corresponde a la zona relacionada con la encía. Se observa epitelio de grosor normal y se concentra un leve infiltrado inflamatorio.
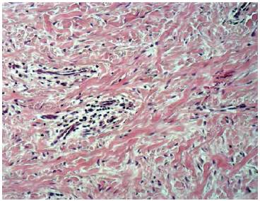
En la figura 7 se observan fibroblastos, sus núcleos y fibras dispuestas en distintas direcciones. También se identifican vasos sanguíneos y algunos linfocitos.
En la figura 8 se puede notar la cercanía de los vasos sanguíneos con el epitelio.
Teniendo esta información en cuenta el diagnóstico histopatológico resulta en granuloma piógeno fibrosado.
Después de realizado el procedimiento de biopsia en julio del año 2014, se cita a la paciente a control para verificar la cicatrización de la lesión y analizar si existen signos de recidiva.
Luego de 2 meses del procedimiento, existe una cicatrización completa, muy buena, considerando que se expuso tejido óseo. Sin signos ni síntomas posteriores a la cirugía. No se observan signos de recidiva al control 1 año posterior a la cirugía. (Fig.9)
Discusión
Al observar el presente caso por primera vez, se pensó en dos diagnósticos diferenciales; el primero un fibroma irritativo y el segundo, un fibroma osificante periférico, ya que presentaban características clínicas clásicas de estos, exceptuando el gran dolor que relataba la paciente. Sin embargo, el estudio histopatológico fue clave en el diagnóstico final; resultando una lesión con un componente vascular, rodeado de tejido fibroso denso. Dichos hallazgos son compatibles con un granuloma piógeno fibrosado.
Respecto al fibroma irritativo, la literatura indica que es una lesión conjuntival de naturaleza reactiva. Su etiología más común es el trauma. Es una de las lesiones reaccionales
más frecuentes y se asocia principalmente con mujeres. (Bagde, 2013). Es más frecuente en la segunda década de la vida, se presenta sin predilección por grupo étnico y aparece en áreas frecuentemente traumatizadas como carrillos, bordes laterales de la lengua y labio inferior. Un estudio de prevalencia realizado sobre 4.166 casos de lesiones benignas que afectan a la mucosa bucal, demostró que de las lesiones de tipo reactivas, el fibroma irritativo, fue la más frecuente, representada por 1.042 casos (25,01%). (Moret, 2012)
Clínicamente, su aspecto es de una masa bien delimitada con superficie lisa y con una mucosa de color normal. La base puede ser sésil o pediculada, la consistencia es firme, y no genera sintomatología (Nazish-Alam, 2010). En relación con la superficie de la lesión, esta se puede mantener intacta o estar ulcerada en algunas ocasiones, debido al trauma repetido generando dolor e inflamación. (López-Labady J., 2009).

Figura 9: Fotografía de control tomada en septiembre de 2014, a 2 meses de realizada la intervención.
Al tener en cuenta estas generalidades, y analizarlas respecto a las características clínicas observadas en la paciente, pareciera casi inmediato pensar en el fibroma irritativo como primera opción.
Por otra parte, el fibroma osificante periférico se describe como una tumoración gingival en la cual se observan zonas calcificadas, que corresponden a osteoide. Este se localiza dentro de una proliferación no encapsulada constituida por fibroblastos benignos. También se encuentran células inflamatorias crónicas que rodean la periferia, y con frecuencia hay ulceración superficial. (Regezi, 1989)
Se describe como una lesión relativamente frecuente, que se presenta sólo en encía adherida o mucosa alveolar como una masa sésil o pediculada cubierta con epitelio normal. Puede presentarse a cualquier edad, pero más frecuentemente en niños y jóvenes. Puede derivar desde el ligamento periodontal. (Genco, 1993).
En este caso no se encontraron zonas de calcificación inmersas en los distintos cortes, pero sí se encontró una zona de exostosis luego de realizada la extirpación total de la lesión. La exostosis vestibular identificada en este caso se clasifica como una malformación del hueso de etiología discutible como por ejemplo factores genéticos, ambientales y sobre todo de hiperfunción masticatoria. Presentan un crecimiento lento, son asintomáticas y suelen iniciarse luego de la pubertad. La forma y tamaño son variables, desde el tamaño de un guisante hasta ser multilobulado con un tamaño importante. (Medina, 1999)
En este caso clínico se proponen dos hipótesis: que la lesión reaccional haya formado esta zona de exostosis o que la zona de exostosis haya formado la lesión reaccional.
Clínicamente, los granulomas piógenos se caracterizan por ser lesiones exofíticas, lisas o lobuladas con un color que van desde el rosado, pasando por rojo hasta marrón-amoratado. Generalmente son asintomáticos y tienden al sangrado luego de un trauma menor. En general no afecta a estructuras óseas, pero en algunos casos se observa leve erosión superficial (Martins-Filho, 2011)
Esta lesión se diagnosticó como granuloma piógeno porque, aunque no tuviera la clínica característica, al recorrer las muestras se encontraron componentes vasculares en reiteradas zonas y células propias de una lesión de esa naturaleza.
El tiempo que permaneció en boca la lesión juega un papel importante en el diagnóstico, ya que la literatura precisa que granulomas piógenos de larga data corresponden más a coloraciones rosáceas en vez de las de tonos rojizos mayormente estudiadas y comúnmente descritas. Esto coincide con la presentación clínica de la lesión, al igual que la transformación a un conectivo más fibroso que aún mantiene células vasculares que se observó en las preparaciones histopatológicas.
Estas observaciones, junto con la mala higiene presentada por la paciente, sugieren que la lesión comenzó como un granuloma piógeno que, a medida que fue evolucionando, fue adquiriendo componentes fibrosos debido al tiempo que estuvo en la cavidad oral, adeciemás del color y forma muy similar a un fibroma irritativo. Gracias a la realización del proceso de biopsia y al análisis de las muestras, se llegó finalmente al diagnóstico definitivo. Esto demuestra que este tipo de lesiones puede ser muy variable y, aunque se considere una lesión benigna, es siempre necesario determinar correctamente el diagnóstico definitivo. Finalmente esto mejora el estudio de las patologías orales y repercute directamente en una mejora en la atención odontológica.
Conclusiones
Se presentó una forma poco habitual de granuloma piógeno, asociado a dolor agudo y con características clínicas de lesión fibrosa.
El diagnóstico definitivo fue dado mediante estudio histopatológico, lo que asegura la vital importancia de este tipo de exámenes al realizar la extirpación de alguna lesión.
El granuloma piógeno no se puede considerar como una neoplasia verdadera sino como una lesión reactiva, que va modificándose con el tiempo y va variando su estructura.
Es de vital importancia difundir en la comunidad odontológica que lesiones en la mucosa oral pueden ser biopsiadas, pero el proceso final diagnóstico, termina con el estudio histopatológico que se entrega y explica al paciente. Esto permite varios objetivos: confirmar al clínico y al paciente su diagnóstico inicial, respaldo de información en caso de que hubiese recidiva, y permite establecer tipo de tratamiento o derivación a otro especialista en caso que fuese necesario.
Finalmente, contribuye al tener datos estadísticos y entender distintos tipos de presentaciones clínicas de una misma lesión.
Karina Cordero Torres, Cirujana Dentista Universidad de Valparaíso. Magíster en Ciencias Odontológicas, mención Patología y Medicina oral, Universidad de Chile.
Profesora Asociada, Universidad Viña del Mar, Chile. kcordero@uvm.cl
Nelson Pardo Carrasco, Cirujano Dentista, Universidad de Chile, Cirujano Maxilofacial Universidad de Valparaíso. Docente Patología Oral y Medicina Oral, Universidad
Viña del Mar, Chile. npardocarrasco@gmail.com
Andrea Arellano Rojas, Ayudante alumna, Carrera de Odontología, Universidad de Viña del Mar, Chile. andrea_arellano@live.com





















